Script = https://s1.trrsf.com/update-1765905308/fe/zaz-ui-t360/_js/transition.min.js
PUBLICIDADE

Homem rompe garganta ao segurar espirro e leva médicos a fazerem alerta

Caso aconteceu na Inglaterra; segurar o espirro pode causar danos ao ouvido e até romper aneurisma, dizem os especialistas.

17 jan 2018 - 08h59
(atualizado às 09h26)
Compartilhar
Exibir comentários
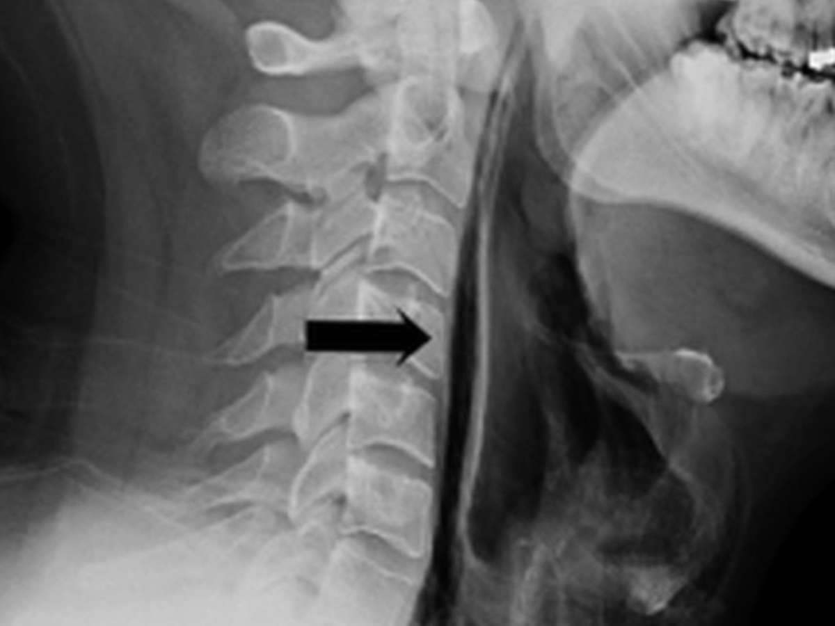
A flecha indica a fratura da garganta | Foto: BMJ
A flecha indica a fratura da garganta | Foto: BMJ
Foto: BBC News Brasil

Segurar um espirro, fechando o nariz e a boca, pode causar sérios danos físicos, alertam os médicos.

Na cidade inglesa de Leicester, um homem de 34 anos rompeu a garganta enquanto tentava segurar um espirro forte. Ele ficou quase sem fala, e teve dificuldades para engolir.

Como o espirro não tinha para onde escapar, a pressão rasgou o tecido mole da garganta. Um raio-X revelou que havia ar escapando da traqueia do paciente. Ele ficou internado por uma semana, recebendo alimentação via tubo, até se recuperar.

O caso, raríssimo, foi publicado no periódico científico British Medical Journal Case Reports. Segundo os médicos, esse tipo de ruptura na garganta é vista em acidentes e traumas, e também pode acontecer por causa de tosse forte ou vômito.

Segurar um espirro também pode machucar os ouvidos ou até romper um aneurisma cerebral, alertam os médicos na publicação.

Para os profissionais do Departamento de Otorrinolaringologia do hospital Leicester Royal Infirmary, onde o homem se tratou, tentar evitar um espirro fechando as narinas e a boca é uma manobra perigosa, e deve ser evitada.

Como o espirros podem espalhar doenças, o ideal é que sejam usados lenços de papel para evitar que seus fluidos sejam espalhados pelo ar. O ideal é jogá-los fora em seguida, além de lavar as mãos.

Caso de homem que rompeu a garganta na Inglaterra ao segurar espirro foi revelado numa publicação médica
Caso de homem que rompeu a garganta na Inglaterra ao segurar espirro foi revelado numa publicação médica
Foto: Getty Images / BBC News Brasil

Veja também

Arraias gigantes correm perigo:
BBC News Brasil BBC News Brasil - Todos os direitos reservados. É proibido todo tipo de reprodução sem autorização escrita da BBC News Brasil.
Compartilhar
TAGS
Publicidade

Conheça nossos produtos

Seu Terra












Publicidade