Script = https://s1.trrsf.com/update-1768488324/fe/zaz-ui-t360/_js/transition.min.js
PUBLICIDADE

O que é o peito escavado, condição que muitos pensam ser estética, mas pode matar

Essa condição é frequentemente vista como um problema estético, mas ela pode esmagar o coração.

15 jan 2020 - 17h12
Compartilhar
Exibir comentários
Kerry Van Der Merwe tem peito escavado e quer aumentar a conscientização sobre a doença
Kerry Van Der Merwe tem peito escavado e quer aumentar a conscientização sobre a doença
Foto: Kerry Van Der Merwe / BBC News Brasil

Respirar é uma luta diária para Kerry Van Der Merwe.

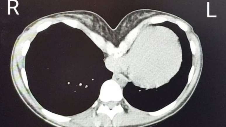
Ela tem peito escavado, uma condição médica rara que, em muitos casos, causa uma má-formação da parede torácica causada pelo afundamento do osso esterno.

Em outras palavras, é uma doença que pode esmagar o coração das pessoas que a têm.

Essa condição é frequentemente vista como um problema estético. Portanto, no Reino Unido, país onde Kerry vive, seu tratamento não é coberto pelo sistema de saúde pública (NHS, na sigla em inglês).

Kerry também é mãe e faz tratamento com antidepressivos desde o início do problema
Kerry também é mãe e faz tratamento com antidepressivos desde o início do problema
Foto: Kerry Van Der Merwe / BBC News Brasil

Espalhando os relatos sobre seu caso, ela quer aumentar a conscientização sobre uma condição que causa dor e angústia diariamente, para que aqueles que sofrem com ela não se sintam incompreendidos e ignorados — como se sentiu durante muito tempo.

'Estrangulada por dentro'

Kerry é cabeleireira, tem 44 anos e visitou pelo menos 10 médicos antes de encontrar o diagnóstico correto para sua falta de ar e taquicardia.

"Eu não conseguia nem mesmo abrir um pote, e eles nem me disseram que iriam estudar o caso", lembra Kerry, que também é mãe de uma menina e vive em Devon, no sul da Inglaterra.

O NHS não oferece tratamento cirúrgico para pessoas com essa condição, pois considera que não há evidências suficientes dos possíveis benefícios do processo.

De acordo com o organismo, os sintomas incluem dor no peito, falta de ar, fadiga, tontura e frequência cardíaca alta, mas não resulta em um grande impacto psicológico no paciente.

Embora Kerry não concorde com este último ponto.

"Não há como viver assim. É como se eles estivessem me estrangulando por dentro", ela diz.

"E recusar (a sentir isso) é absolutamente desagradável", diz Kerry.

"Eu tomo antidepressivos a minha vida toda, desde que a deformação começou", diz ela.

O peito escavado geralmente se desenvolve durante a puberdade e é mais frequente em homens do que em mulheres
O peito escavado geralmente se desenvolve durante a puberdade e é mais frequente em homens do que em mulheres
Foto: Science Photo Library / BBC News Brasil

"Eu não consigo fazer coisas simples como subir ou descer escadas. Meu coração bate tão rápido que é realmente perigoso."

Segundo a Clínica Mayo, dos EUA, embora em alguns casos o único sintoma seja a deformidade no peito, em algumas pessoas o esterno pode comprimir os pulmões e o coração.

Neste último caso, alguns sintomas são menos tolerância ao exercício, palpitações ou batimentos cardíacos acelerados, infecções respiratórias recorrentes e sopro cardíaco.

Após sua peregrinação por várias consultas médicas sem obter resposta ou tratamento, Kerry procurou um especialista.

O cirurgião torácico Joel Dunning, do Hospital Universitário James Cook, em Middlesbrough, na Inglaterra, finalmente solucionou o "mistério".

"Ela nunca soube o que é ser normal", diz Dunning, que acrescenta que "sem dúvida" o coração de sua paciente está sendo "esmagado" por seu esterno.

Segundo o especialista, é "loucura" negar a cirurgia "que prolonga a vida" em casos como o dela.

"Não é preciso ser especialista para lhe dizer que, se seu peito esmaga seu pulmão e você retirar aquilo que o comprime, respirará melhor."

Graças à intervenção do cirurgião, Kerry agora deve passar por um procedimento para inserir três barras de titânio que elevarão o peito dela para uma posição normal.

Dunning chama a atenção para os benefícios psicológicos desta cirurgia, que, segundo ele, deveria ser oferecida gratuitamente.

Para o cirurgião, os adolescentes que sofrem de peito escavado seriam os mais beneficiados pela intervenção.

"São adolescentes tentando encontrar seu caminho no mundo e a condição os torna introvertidos, constantemente preocupados."

Uma vida em modo de espera

Mas há casos em que sofrer de peito afundado pode ter outras consequências. Katie Bruce viveu isso na própria pele.

Katie Bruce diz que sua saúde mental foi severamente afetada e ela tomou antidepressivos por 18 meses
Katie Bruce diz que sua saúde mental foi severamente afetada e ela tomou antidepressivos por 18 meses
Foto: Katie Bruce / BBC News Brasil

Ela tinha 21 anos quando desmaiou por conta da síndrome do peito escavado e foi atropelada por um carro.

Ele perdeu quatro dos dentes da frente e sofreu várias fraturas no rosto. Um lado de sua mandíbula se desprendeu do crânio e "nunca mais voltou ao normal".

A jovem graduada em bioquímica conseguiu se submeter à cirurgia em março, apenas um ano após solicitar sua primeira cirurgia — que tinha sido rejeitada.

Katie diz que seu coração foi esmagado por seus ossos
Katie diz que seu coração foi esmagado por seus ossos
Foto: Katie Bruce / BBC News Brasil

Como o afundamento no peito era profundo, os cirurgiões só puderam inserir uma barra de metal. A peça acabou virando e a jovem de 26 anos ficou de cama enquanto esperava outra cirurgia para corrigir a complicação.

"Sinto como se estivessem me esfaqueando repetidas vezes entre as costelas. Nenhum analgésico pode aliviar isso", diz ela.

"Tenho 26 anos, um diploma universitário e não posso fazer nada. Não posso conseguir um emprego, não consigo pensar em pagar o financiamento de uma casa ou formar uma família. Minha vida parece estar em modo de espera."

Katie diz que essas complicações não teriam ocorrido se ela tivesse sido submetida à operação quando era mais jovem e sua estrutura óssea ainda estivesse se formando.

"Se eles tivessem mais consciência disso e eu fosse tratada mais cedo, eu nunca teria sido atropelada por aquele carro."

Com sua nova cirurgia, Kerry corrigirá uma operação realizada na adolescência na África do Sul
Com sua nova cirurgia, Kerry corrigirá uma operação realizada na adolescência na África do Sul
Foto: KERRY VAN DER MERWE / BBC News Brasil

Katie também teve sintomas como falta de ar e taquicardia, mas, como Kerry, levou muitos anos até receber o diagnóstico correto.

"Estou surpresa com o número de médicos que visitei e nenhum deles sabia nada a respeito do assunto."

Enquanto isso, Kerry aguarda a cirurgia com a esperança de que o procedimento traga uma mudança em sua vida. Embora esteja nervosa, ela sabe que precisa da operação.

"Estou com medo, mas sei que vai salvar minha vida."

BBC News Brasil BBC News Brasil - Todos os direitos reservados. É proibido todo tipo de reprodução sem autorização escrita da BBC News Brasil.
Compartilhar
Publicidade

Conheça nossos produtos

Seu Terra












Publicidade