Script = https://s1.trrsf.com/update-1770314720/fe/zaz-ui-t360/_js/transition.min.js
PUBLICIDADE

Africano descobre verme de 1 metro dentro de seu pé

Característico de algumas regiões africanas, o verme só pode ter sido "contraído" na terra natal do paciente - que ele não visita há mais de 4 anos

12 dez 2014 - 10h27
Compartilhar
Exibir comentários

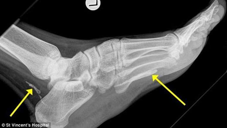
Um imigrante do Sudão que mora em Melbourne, na Austrália, resolveu visitar um médico por conta de inchaço e dores em um dos pés. No consultório, ele foi submetido a exame de raio-x e descobriu um nada agradável motivo para o desconforto: um verme de 1 metro de comprimento estava vivendo dentro dele. As informações são do Daily Mail. 

Africano descobre verme de 1 metro dentro de seu pé
Africano descobre verme de 1 metro dentro de seu pé
Foto: Daily Mail / Reprodução

De acordo com a publicação, o verme, característico de algumas regiões africanas, só pode ter sido "contraído" na terra natal do paciente - que ele não visita há mais de 4 anos. Segundo o médico que o atendeu, Dr Jonathan Darby, a criatura entrou em seu organismo ainda na fase de larva, provavelmente através de água contaminada. Em seguida, "cavou" um caminho até a sola do pé, morreu e começou a se degenerar. 

"Esse processo pode durar anos. O verme pode se alojar no corpo humano, vivo, durante anos ou morrer dentro dele. Isso causa problemas na área afetada, como aconteceu com nosso paciente", explicou o profissional. 

A criatura foi removida com sucesso por meio de cirurgia. O imigrante já está recuperado. 

Fonte: Terra
Compartilhar
Publicidade

Conheça nossos produtos

Seu Terra












Publicidade