Mulher descobre gravidez de 23 semanas fora do útero após fortes cólicas

Francesa de 37 anos chegou a ser internada após sentir dores e "inchaço". Gestação aconteceu no abdômen, entre o estômago e o intestino

12 dez 2023 - 12h51
(atualizado às 12h52)

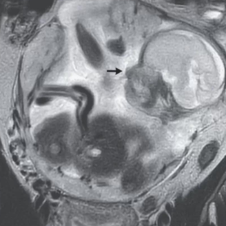
Após sentir fortes dores de cólica por 10 dias, uma mulher foi até o hospital procurar ajuda e teve que ser internada depois de descobrir uma gestação de 23 semanas. A gravidez era ectópica (fora do útero) e o feto estava se desenvolvendo em um saco gestacional fora do útero, entre o estômago e o seu intestino.

O caso raro foi compartilhado em um artigo do New England Journal of Medicine no último sábado (9). Segundo relato médico, a mulher se queixava de dores abdominais e inchaço na barriga.

Publicidade
Com fortes cólicas, francesa descobre gravidez de 23 semanas fora do útero
Com fortes cólicas, francesa descobre gravidez de 23 semanas fora do útero
Foto: New England Journal of Medicine

Ainda, os médicos conseguiram "segurar" a gestação até as 29 semanas, quando foi realizado um parto cesáreo. O bebê recebeu alta depois de três meses. Já a mãe foi submetida a outra cirurgia, 12 dias após o nascimento da criança, para poder remover o resto da placenta. Ela tinha outros dois filhos.

Mesmo não sendo rara, a gravidez ectópica apresenta riscos para a saúde da mãe e do bebê. Geralmente o feto se desenvolve nas trompas de falópio, e com o tempo, eles rompem os ovários e se alojam na cavidade abdominal. O que chamou atenção da comunidade médica neste caso foi o tempo que se levou para descobrir a gestação.

Os cuidados com os bebês prematuros; veja o que fazer Os cuidados com os bebês prematuros; veja o que fazer

Fonte: Redação Terra Você
Curtiu? Fique por dentro das principais notícias através do nosso ZAP
Inscreva-se