Script = https://s1.trrsf.com/update-1768488324/fe/zaz-ui-t360/_js/transition.min.js
PUBLICIDADE

Australiano tem polegar substituído por dedão do pé após perdê-lo em ataque de touro

Médicos tentaram reimplantar membro decepado duas vezes, mas optaram pela substituição para que rancheiro não perdesse funcionalidade da mão direita.

13 jul 2017 - 10h57
(atualizado às 11h15)
Compartilhar
Exibir comentários

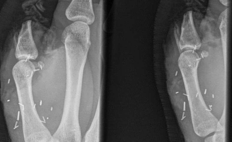
Um rancheiro australiano que teve o polegar decepado por um touro teve um dos dedões do pé colocado no lugar, há duas semanas.

Zac Mitchell's teve o dedão do pé enxertado em sua mão direita
Zac Mitchell's teve o dedão do pé enxertado em sua mão direita
Foto: South Eastern Sydney Local Health District / BBC News Brasil

Zac Mitchell, de 20 anos, sofreu a lesão em abril enquanto trabalhava em uma fazenda de uma região remota do oeste da Austrália.

"O touro deu um coice na minha mão, que acertou a cerca", explicou Mitchell.

Colegas do rancheiro conseguiram recuperar o dedo decepado, colocando-o em uma caixa térmica com gelo. Mas, depois de duas tentativas de reimplantar o polegar, os médicos optaram por usar o dedão do pé, em um procedimento que durou oito horas.

Escolha difícil

Mitchell inicialmente relutou em autorizar o transplante, realizado no Sydney Eye Hospital.

O cirurgião plástico responsável pelo procedimento, Sean Nicklin, disse não ter ficado surpreso com a hesitação do paciente.

Cirurgiões tentaram reimplantar o polegar decepado duas vezes
Cirurgiões tentaram reimplantar o polegar decepado duas vezes
Foto: South Eastern Sydney Local Health District / BBC News Brasil

"É uma ideia meio maluca, e os pacientes não querem se machucar em outra parte de seu corpo", disse Nicklin.

"Mas mesmo quando você tem quatro dedos bons em uma mão, se você não tem algo para formar uma pinça, sua mão perdeu uma parte imensa de sua funcionalidade".

O rancheiro precisará de mais de um ano de fisioterapia, mas pretende voltar à vida de vaqueiro.

Os médicos explicaram que o uso de partes do dedão do pé como "coringa" não é tão incomum assim, embora seja raro transplantar o dedão inteiro.

"Muitas pessoas pensam que vão perder o equilíbrio e que o andar será afetado, mas normalmente não é o caso", explica Nicklin.

Karen, a mãe de Mitchell, disse que o rancheiro estava se recuperando bem, pelo menos no que diz respeito à locomoção.

"Seu caminhar está quase de volta ao normal".

Veja também

Iceberg gigante se desprende da Antártida:
BBC News Brasil BBC News Brasil - Todos os direitos reservados. É proibido todo tipo de reprodução sem autorização escrita da BBC News Brasil.
Compartilhar
Publicidade

Conheça nossos produtos

Seu Terra












Publicidade