Script = https://s1.trrsf.com/update-1765905308/fe/zaz-ui-t360/_js/transition.min.js
PUBLICIDADE

Médicos removem bola de cabelo do estômago de adolescente com 'síndrome de Rapunzel'

Médicos removem bola de cabelo gigante do estômago de adolescente com 'síndrome de Rapunzel'; entenda

25 set 2025 - 14h04
Compartilhar
Exibir comentários

Uma jovem de 17 anos, moradora do Oriente Médio, precisou ser submetida a uma cirurgia de emergência após os médicos identificarem no estômago dela uma enorme bola de cabelo. O caso incomum, classificado como "síndrome de Rapunzel", foi relatado recentemente na revista científica Journal of Surgical Case Reports por especialistas da Arábia Saudita e do Egito.

Reprodução
Reprodução
Foto: Contigo

De acordo com o estudo, a adolescente deu entrada no hospital com sintomas preocupantes: dores abdominais intensas, vômitos recorrentes e grande dificuldade para se alimentar, já que não conseguia engolir quase nada. Os responsáveis pela jovem informaram aos profissionais de saúde que ela tinha um histórico de pica, transtorno alimentar caracterizado pela ingestão compulsiva de substâncias não comestíveis. No caso dela, o objeto de compulsão eram fios de cabelo.

Entenda melhor

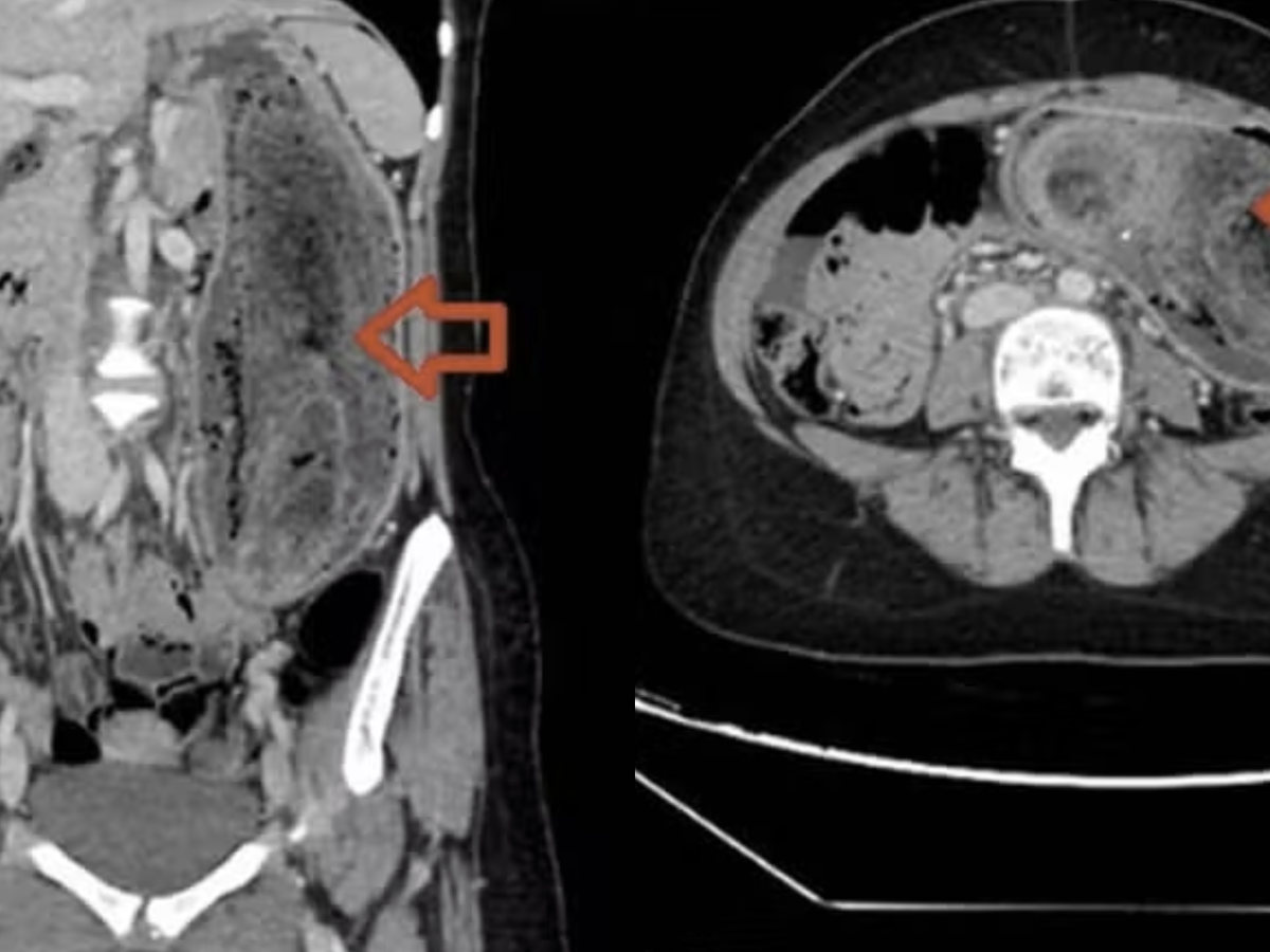
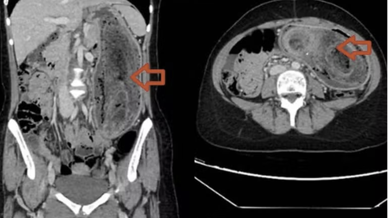
Na avaliação física, os médicos perceberam que o abdômen estava distendido, doloroso e com uma massa endurecida perceptível ao toque. Exames de imagem confirmaram a suspeita: havia um aglomerado de cabelo tão grande que ocupava completamente o estômago e chegava até o duodeno, configurando um quadro típico da "síndrome de Rapunzel".

"Devido ao tamanho, não foi possível remover o material por endoscopia. Foi necessário realizar uma cirurgia aberta sob anestesia geral", relataram os autores do estudo. A operação durou cerca de três horas, e os cirurgiões conseguiram retirar a bola de cabelo intacta.

Após o procedimento, a paciente apresentou boa evolução clínica e recebeu alta quatro dias depois. Os médicos recomendaram acompanhamento psiquiátrico e terapia comportamental para evitar a reincidência do problema.

O que é a "síndrome de Rapunzel"?

O nome dessa condição remete à famosa personagem dos contos de fadas, conhecida por seus longos cabelos. No campo médico, o termo é usado quando o consumo compulsivo de fios forma massas sólidas no estômago, chamadas de tricobezoares.

Embora seja extremamente rara, com estimativa de ocorrência em menos de 0,5% dos casos de obstrução gástrica, a síndrome pode trazer riscos sérios. Entre as complicações possíveis estão úlceras, pancreatite e perfuração do trato digestivo. Segundo os pesquisadores, em situações mais graves, a taxa de mortalidade pode atingir até 30%.

Contigo Contigo
Compartilhar
Publicidade

Conheça nossos produtos

Seu Terra












Publicidade