Script = https://s1.trrsf.com/update-1765905308/fe/zaz-ui-t360/_js/transition.min.js
PUBLICIDADE

MMA

UFC: nocaute em Minotauro quebrou a mão de Roy Nelson

15 abr 2014 - 20h55
Compartilhar
Exibir comentários
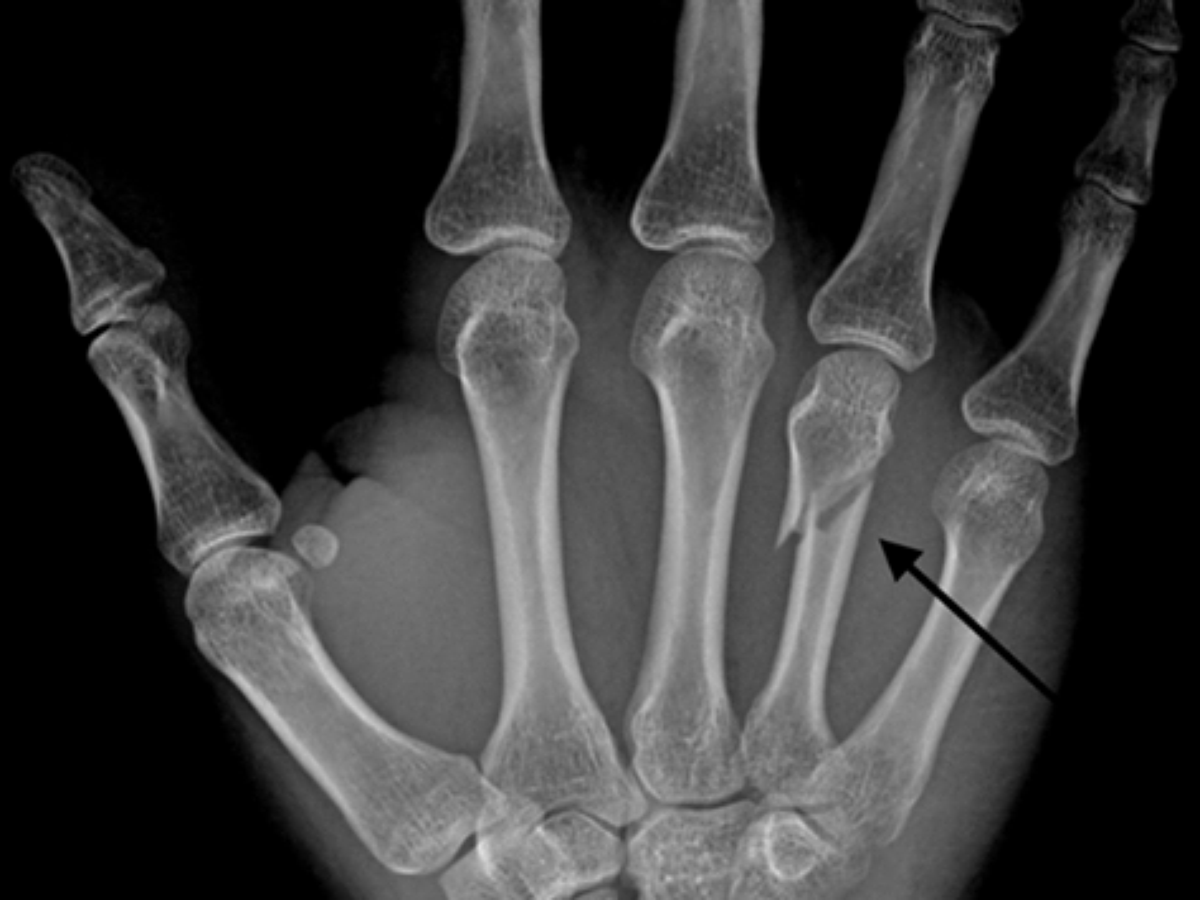
Roy Nelson exibe fratura em raio-x de sua mão
Roy Nelson exibe fratura em raio-x de sua mão
Foto: Facebook / Reprodução

A vitória por nocaute contra Rodrigo Minotauro rendeu mais do que a redenção e o bônus de "Melhor Performance da Noite" a Roy Nelson. Na luta principal do UFC de Abu Dhabi, no último dia 11 de abril, o americano também voltou para a casa com a mão fraturada. A potência dos golpes que o "gordinho do UFC" aplicou no brasileiro acabou resultando numa lesão.

O peso-pesado publicou a imagem da fratura em suas redes sociais. Na verdade, o americano já tinha uma suspeita, mas só após uma ida ao médico pôde confirmar a existência da lesão. "Finalmente fui ao médico. Está quebrada, mas às vezes é isso o que acontece quando você soca tão forte", publicou o lutador.

Depois de derrotas para Daniel Cormier e Stipe Miocic, Roy Nelson voltou ao caminho das vitórias ao bater Rodrigo Minotauro por nocaute, no primeiro round da luta principal do UFC de Abu Dhabi. Com a lesão na mão, Nelson provavelmente terá de aguardar um tempo maior do que o esperado para retornar ao octógono mais famoso do mundo.

Fonte: Lancepress! Lancepress!
Compartilhar
Publicidade

Conheça nossos produtos

Seu Terra












Publicidade