Script = https://s1.trrsf.com/update-1770314720/fe/zaz-ui-t360/_js/transition.min.js
PUBLICIDADE

Interstício, o 'novo órgão' do corpo humano que a ciência acaba de descobrir

Um grupo de pesquisadores descobriu uma estrutura até então desconhecida da anatomia humana, que pode mudar a forma como entendemos o funcionamento dos órgãos, tecidos e doenças.

29 mar 2018 - 17h09
(atualizado em 29/3/2018 às 14h41)
Compartilhar
Exibir comentários

Ele sempre esteve ali, mas foi apenas por meio de uma tecnologia mais avançada que os cientistas finalmente puderam identificá-lo: um espaço repleto de cavidades preenchidas por líquido, presente entre os tecidos do nosso corpo - por isso, chamado de intersticial (entre tecidos). Um grupo de especialistas o classifica como um novo órgão do corpo humano, "uma nova expansão e especificação do conceito de interstício humano".

Paradoxalmente, apesar de ter sido descoberto apenas agora, o intertício pode ser nada menos do que um dos maiores órgãos do corpo humano, assim como a pele. Os cientistas afirmam que essa rede de cavidades de colágeno e elastina, cheia de líquido, reuniria mais de um quinto de todo o fluído do organismo.

A descoberta foi feita por uma equipe de patologistas da Escola de Medicina da Universidade de Nova York (NYU), Estados Unidos. Os resultados foram publicados na revista Scientific Reports.

Antes, se acreditava que essas camadas intersticiais do corpo humano fossem formadas por um tecido conjuntivo denso e sólido. Mas, na realidade, elas estão interconectadas entre si, através de compartimentos cheios de líquidos.

Estes tecidos ficam localizados debaixo da pele, recobrem o tubo digestivo, os pulmões e o sistema urinário, rodeiam as artérias, veias e fáscia (estrutura fibrosa onde se fixam músculos). Ou seja, são uma estrutura que se extende por todo o corpo.

Os pesquisadores acreditam que esta estrutura anatômica pode ser importante para explicar a metástase do câncer, o edema, a fibrose e o funcionamento mecânico de tecidos e órgãos do corpo humano.

Como não havia sido descoberto até agora?

Essas estruturas não são visíveis com nenhum dos métodos padrões de visualização da anatomia humana. Agora, os cientistas puderam identificar esse novo "órgão" graças aos avanços tecnológicos da endomicroscopia ao vivo, que mostra em tempo real a histologia e estrutura dos tecidos.

De qualquer forma, a descoberta foi uma surpresa.

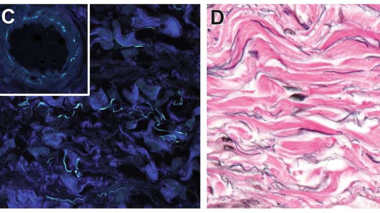
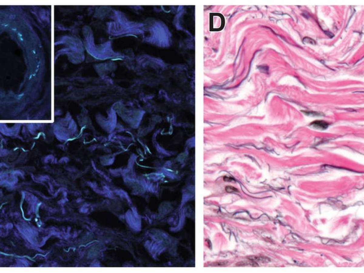
A equipe de investigadores fez, em 2015, uma operação com endomicroscopia a laser - uma tecnologia chamada Confocal Laser Endomicroscopy (pCLE) - para examinar o conduto biliar de um paciente com câncer. Depois de uma injeção de uma substância corante chamada fluoresceína, foi possível ver "um padrão reticular com seios (ocos) cheios de fluoresceína, que não tinham nenhuma correlação anatômica".

Em seguida, os cientistas tentaram examinar mais detalhadamente essa estrutura. Para isso, usaram placas microscópicas de biópsia habitual. Porém, as estruturas haviam desaparecido.

Foto: BBC News Brasil

Depois de fazer vários testes, Neil Theise, coautor do estudo, se deu conta de que o processo convencional de fixação de amostras de tecidos em placas drenava o fluído presente na estrutura. Normalmente, os cientistas tratam as amostras com produtos químicos, as cortam em uma camada muito fina e aplicam tinta para realçar suas características chave. Porém, esse procedimento faz colapsar a rede de compartimentos, antes cheios de líquidos. É como se os pisos de um edifício desmoronassem.

Por isso, "durante décadas, (a estrutura) pareceu como algo sólido nas placas de biópsia", disse Theise, que faz parte do departamento de patologia da Universidade de Nova York.

Ao mudar a técnica de fazer a biópsia, sua equipe conseguiu preservar a anatomia da estrutura, "demonstrando que ela forma parte da submucosa e que é um espaço intersticial cheio de fluído não observado anteriormente". Assim, foram identificadas "tiras largas e escuras ramificadas, rodeadas de espaços grandes e poligonais cheios de fluoresceína", descreve o estudo.

Os cientistas confirmaram a existência dessa estrutura em outros 12 pacientes operados.

Qual é sua função?

Até agora a ciência não estudou profundamente nem o fluxo nem o volume do fluído interticial do corpo humano. Por enquanto, a identificação desse "espaço intersticial" levanta várias hipóteses.

Os especialistas acreditam que essa rede de espaços interconectados, forte e elástica, pode atuar como um amortecedor para evitar que os tecidos do corpo se rasguem com o funcionamento diário - que faz com que os órgãos, músculos e vasos sanguíneos se contraiam e se expandam constantemente.

Além disso, acreditam que essa rede de cavidades é como uma pista expressa para os fluídos. Isso poderia embasar a hipótese de que o câncer, ao atingir o espaço intersticial, possa se expandir pelo corpo muito rapidamente. É a chamada metástase.

Por outro lado, os autores do estudo acreditam que as células que formam o interstício mudam com a idade, podendo contribuir com o enrugamento da pele e com o endurecimento das extremidades, assim como a progressão de doenças fibróticas, escleródios e inflamatórias.

Veja também:

Esculturas gigantes de animais... de chocolate:
BBC News Brasil BBC News Brasil - Todos os direitos reservados. É proibido todo tipo de reprodução sem autorização escrita da BBC News Brasil.
Compartilhar
TAGS
Publicidade

Conheça nossos produtos

Seu Terra












Publicidade