Script = https://s1.trrsf.com/update-1764790511/fe/zaz-ui-t360/_js/transition.min.js
PUBLICIDADE

Por que as pessoas têm dentes de leite e dentes permanentes?

Um dentista pediátrico e uma antropóloga explicam como os dentes de leite e os dentes permanentes ajudam os seres humanos a mastigar os alimentos ao longo da vida.

25 nov 2025 - 18h39
(atualizado em 25/11/2025 às 15h00)
Compartilhar
Exibir comentários

Os dentes ajudam os animais a morder e mastigar os alimentos. Os carnívoros tendem a ter dentes afiados para cravar em suas presas, enquanto os herbívoros tendem a ter dentes mais planos para triturar suas refeições à base de plantas.

Alguns animais também usam seus dentes para fins específicos, como cavar ou lutar. As presas, como as dos elefantes, morsas e javalis, são um tipo especial de dente — elas crescem continuamente enquanto o animal estiver vivo.

Com o tempo, não importa para que você os use, os dentes se desgastam. Isso é uma boa notícia se você for um roedor, como um castor ou um rato. Como seus dentes nunca param de crescer, os roedores dependem de roer e mastigar para desgastar os dentes e evitar que cresçam tanto a ponto de causar problemas.

Alguns animais lidam com o desgaste desenvolvendo continuamente novos dentes à medida que os antigos caem. Tubarões e crocodilos, por exemplo, são o que os cientistas chamam de polifiodontes: eles podem crescer conjuntos quase infinitos de dentes.

Um crocodilo do Nilo descansa na areia com a boca aberta, revelando uma dentição completa de dentes afiados.
Um crocodilo do Nilo descansa na areia com a boca aberta, revelando uma dentição completa de dentes afiados.
Foto: The Conversation

Alguns animais com dentes desenvolvem novos dentes para substituir os antigos quando eles caem. Marcos del Mazo/LightRocket via Getty Images

Como a maioria dos mamíferos, os seres humanos são difiodontes: temos dois conjuntos de dentes - dentes de leite e dentes permanentes. O termo técnico para os nossos dentes de leite é dentes decíduos, porque caem, da mesma forma que as folhas decíduas caem das árvores no outono.

Somos um dentista que se concentra no tratamento de crianças e uma antropóloga que estuda como os dentes e rostos humanos crescem. Ambos somos apaixonados por dentes e cuidados com a saúde bucal e adoramos pensar e aprender sobre dentes. Como dois conjuntos se tornaram padrão para os seres humanos?

Como os dentes humanos se desenvolvem

A maioria das pessoas nasce sem nenhum dente visível na boca, embora os dentes de leite comecem a se desenvolver antes mesmo do nascimento. Os dentes de leite geralmente começam a aparecer na gengiva quando você tem entre 6 e 8 meses de idade. Às vezes, quando os dentistas fazem raios-X para verificar se há cáries ou outros problemas, eles podem ver os dentes permanentes crescendo dentro da gengiva.

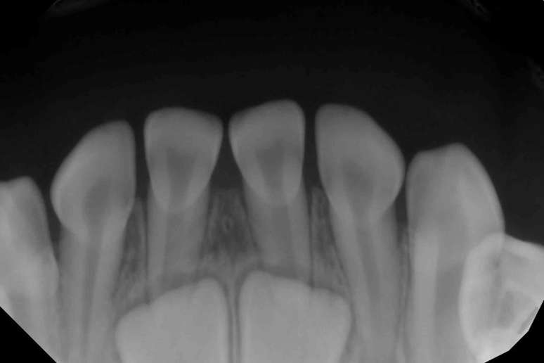
Imagem em preto e branco mostra uma fileira de dentes pequenos com raízes – abaixo deles, há dois dentes brancos maiores
Imagem em preto e branco mostra uma fileira de dentes pequenos com raízes – abaixo deles, há dois dentes brancos maiores
Foto: The Conversation

Radiografia da boca de uma criança mostra dois dentes permanentes crescendo na mandíbula, abaixo dos dentes de leite visíveis. David Avenetti

Os dentes de leite são relativamente pequenos porque precisam caber nos rostos pequenos de bebês e crianças pequenas. À medida que você cresce e seu rosto fica maior, você tem espaço na boca para dentes maiores e em maior quantidade. Os dentes têm tamanhos e formatos diferentes, dependendo de sua finalidade. Os dentes da frente dos humanos são bons para morder coisas e arrancar pedaços de comida. Os dentes de trás são bons para mastigar os alimentos em pedaços menores antes de engoli-los.

A maioria das crianças perde o primeiro dente de leite entre os 5 e os 6 anos de idade, e o processo continua lentamente até aos 10 e 12 anos, quando todos os 20 dentes de leite originais caem.

Durante esse mesmo período, os dentes adultos, ou permanentes, gradualmente ocupam seus lugares na boca. Eles são maiores do que os dentes de leite e podem ajudar a mastigar mais alimentos de uma vez. Eventualmente, você terá um conjunto de 28 dentes, com a possibilidade de mais quatro dentes do siso na parte de trás. Algumas pessoas simplesmente não desenvolvem dentes do siso, outras têm dentes do siso que não se encaixam na mandíbula e precisam ser removidos, e outras têm um sorriso grande e largo com 32 dentes.

Portanto, ter dois conjuntos de dentes significa que seus dentes se ajustam ao tamanho do seu rosto à medida que você cresce e ajuda a garantir que você possa mastigar alimentos por toda a vida.

Os dentes de leite merecem cuidados delicados

Você pode estar pensando que, se os dentes de leite vão cair, eles não devem ser tão importantes assim. Mas isso não é verdade.

Se você fosse um tubarão, toda vez que tivesse várias cáries ou lascasse um dente, simplesmente cresceria um novo e continuaria mastigando. Mas, ao contrário dos tubarões, crocodilos ou até mesmo peixes-boi, nós, seres humanos, temos apenas dois conjuntos de dentes. Cuidando dos dentes de leite, você pode mantê-los saudáveis e garantir que eles permaneçam no lugar até que estejam prontos para cair.

Se você não cuidar dos dentes de leite, eles podem acabar com muitas cáries. Se as cáries ficarem muito grandes ou os dentes infeccionarem, talvez seja necessário removê-los no dentista. Além de não ser um processo agradável, a remoção precoce dos dentes de leite pode causar problemas para os dentes permanentes.

Você pode acabar sem espaço suficiente para os dentes permanentes nascerem — ou seja, o que os dentistas chamam de "erupção" — nos locais corretos. Esse problema ocorre, em parte, porque os outros dentes ao redor do local onde estava o dente de leite se deslocam e podem ocupar o espaço onde os dentes permanentes deveriam nascer. Os dentes podem ficar presos na mandíbula e não irromper, ou podem ficar apinhados na boca. Se houver uma incompatibilidade entre o tamanho dos dentes e o tamanho da mandíbula, um ortodontista pode colocar aparelhos nos dentes para reposicioná-los de modo que todos caibam.

Qual é o futuro dos dentes?

Como as pessoas podem viver muito tempo, 70 ou 80 anos ou mais, muitas sobrevivem aos seus dentes, mesmo que façam o possível para cuidar deles. Embora existam muitas opções de dentes artificiais, como dentaduras removíveis ou até implantes dentários, que são dentes falsos aparafusados na mandíbula, não é exatamente a mesma coisa que ter dentes naturais.

Imagem digital gerada de um dente artificial implantado com um parafuso na base, fixado à mandíbula
Imagem digital gerada de um dente artificial implantado com um parafuso na base, fixado à mandíbula
Foto: The Conversation

Cuidar bem dos dentes diminui a chance de você precisar de uma substituição artificial algum dia. Andriy Onufriyenko/Moment via Getty Images

Se você quebrar um osso, ele se cura porque você pode formar um novo osso para reparar a parte quebrada. Os cientistas chamam esse processo de cicatrização da fratura. Os dentes humanos não são ossos e, infelizmente, não se curam sozinhos. Ao contrário dos ossos, que são compostos principalmente por uma proteína estrutural produzida pelo corpo chamada colágeno, os dentes são compostos principalmente por minerais como a hidroxiapatita rica em cálcio. De certa forma, os dentes são mais parecidos com pedras duras do que com ossos vivos.

A odontologia regenerativa é o estudo de como os dentes crescem e se desenvolvem, com o objetivo final de criar novas maneiras de reparar e substituir nossos dentes. Os cientistas estão trabalhando arduamente para descobrir maneiras de fazer crescer novos dentes ou ajudar os dentes existentes a se regenerarem. Eles estão aprendendo sobre o ambiente e os materiais necessários para fazer crescer novos dentes.

Por enquanto, a melhor coisa que você pode fazer é cuidar bem dos dentes que você tem e manter as gengivas e os ossos que os sustentam saudáveis. Escove os dentes duas vezes ao dia com creme dental que contenha flúor e use fio dental uma vez ao dia. Tente limitar o consumo de alimentos e bebidas açucarados e pegajosos — uma boa alimentação mantém todo o corpo saudável, não apenas os dentes. Consulte um dentista regularmente e proteja os dentes contra lesões.

Cuidar bem dos seus dentes agora pode ajudar você a ter um sorriso bonito e saudável no futuro.

The Conversation
The Conversation
Foto: The Conversation

David Avenetti recebe financiamento do National Institutes of Health (National Institute of Dental and Craniofacial Research) e da Health Resources and Services Administration.

Christina Nicholas não presta consultoria, trabalha, possui ações ou recebe financiamento de qualquer empresa ou organização que poderia se beneficiar com a publicação deste artigo e não revelou nenhum vínculo relevante além de seu cargo acadêmico.

The Conversation Este artigo foi publicado no The Conversation Brasil e reproduzido aqui sob a licença Creative Commons
Compartilhar
Publicidade

Conheça nossos produtos

Seu Terra












Publicidade