Script = https://s1.trrsf.com/update-1768488324/fe/zaz-ui-t360/_js/transition.min.js
PUBLICIDADE

Livro de fotos revela 'beleza escondida' de doenças

Compartilhar
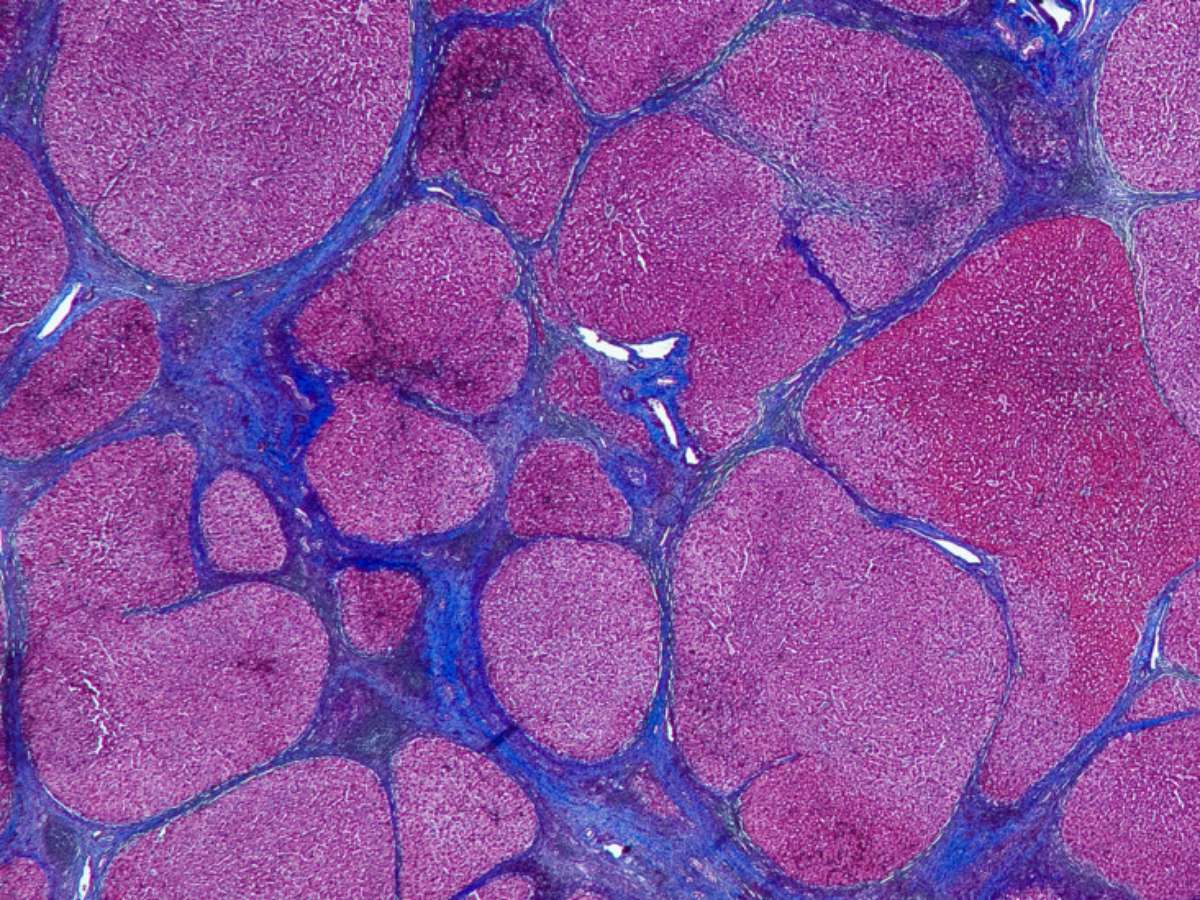
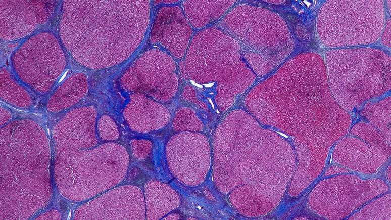
Livro de fotos publicado nos Estados Unidos mostra imagens inscríveis a partir de doenças devastadores. Entre elas está a de um fígado, um dos maiores órgãos do corpo humano, com cirrose, que ocorre quando o tecido do órgão (em vermelho) é substituído por tecido fibroso (azul). Na tentativa de se regenerar, as células do fígado se proliferam, mas ficam contidas pelo tecido fibroso, resultando na formação de nódulos
Livro de fotos publicado nos Estados Unidos mostra imagens inscríveis a partir de doenças devastadores. Entre elas está a de um fígado, um dos maiores órgãos do corpo humano, com cirrose, que ocorre quando o tecido do órgão (em vermelho) é substituído por tecido fibroso (azul). Na tentativa de se regenerar, as células do fígado se proliferam, mas ficam contidas pelo tecido fibroso, resultando na formação de nódulos
Foto: Hidden Beauty: Exploring the Aesthetics of Medical Science / BBC News Brasil
Compartilhar
TAGS
Publicidade

Conheça nossos produtos

Seu Terra