Script = https://s1.trrsf.com/update-1770314720/fe/zaz-ui-t360/_js/transition.min.js
PUBLICIDADE

Você sabia que há três idades com pico de envelhecimento no cérebro? Descubra quais são

Estudo revela como proteínas no sangue podem desvendar o ritmo do envelhecimento cerebral

13 dez 2024 - 10h32
(atualizado às 10h34)
Compartilhar
Exibir comentários
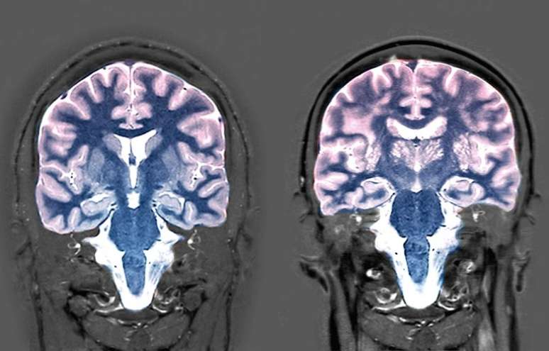
Ressonância magnetica do cérebro de um homem de 25 anos (esquerda) e de um homem de 74 anos (direita).
Ressonância magnetica do cérebro de um homem de 25 anos (esquerda) e de um homem de 74 anos (direita).
Foto: Zephyr/Science Photo Library

De acordo com um estudo publicado na revista Nature Aging, biomarcadores presentes no sangue podem monitorar o envelhecimento cerebral e revelar novas possibilidades de tratamento para doenças relacionadas à idade, como a demência.

Pesquisadores identificaram 13 proteínas no sangue que podem prever a velocidade com que o cérebro de uma pessoa envelhece em comparação ao resto do corpo. O estudo utilizou um modelo de aprendizado de máquina para estimar a “idade cerebral” a partir de exames de imagem realizados em mais de 10 mil indivíduos. Entre os dados analisados, oito proteínas foram associadas ao envelhecimento cerebral acelerado, enquanto cinco estavam relacionadas a um envelhecimento mais lento.

Outro achado importante foi a identificação de mudanças nos níveis de proteínas do sangue em três idades específicas: 57, 70 e 78 anos. Cada fase corresponde a um período distinto de envelhecimento cerebral. Aos 57 anos, as alterações envolviam proteínas relacionadas ao metabolismo, cicatrização e saúde mental. 

Aos 70 anos, as mudanças estavam associadas à função das células cerebrais, com forte ligação a condições relacionadas à idade, como demência e AVC. Já aos 78 anos, os pesquisadores observaram mudanças em proteínas associadas à imunidade e inflamação. “Esses picos têm diferentes implicações e podem ser utilizados para diagnóstico precoce e intervenções em distúrbios cerebrais”, destaca Wei-Shi Liu, neurologista da Universidade de Fudan, na China, e coautor do estudo.

Associação entre proteínas e envelhecimento cerebral

Liu explica: “Estudos anteriores focaram principalmente na associação entre proteínas e a idade cronológica, ou seja, a idade real do indivíduo. No entanto, examinar biomarcadores relacionados à idade cerebral pode ajudar a identificar moléculas para tratamentos futuros”.

Utilizando dados de imagem cerebral de 10.949 pessoas, os cientistas criaram um modelo baseado em características como volume cerebral, área superficial e distribuição da substância branca. 

Para identificar proteínas associadas a uma grande diferença entre idade cerebral e cronológica, analisaram 2.922 proteínas em amostras de sangue de 4.696 participantes, sendo mais da metade mulheres. Os pesquisadores encontraram 13 proteínas ligadas a essas diferenças, algumas associadas à cognição, saúde mental e movimentos.

Uma proteína de destaque foi a brevican (BCAN), envolvida na formação e manutenção das redes moleculares ao redor das células, bem como em processos de aprendizado e memória. Níveis elevados de BCAN foram associados a um envelhecimento cerebral mais lento. Além disso, pessoas com doença de Alzheimer apresentam menos BCAN em células cerebrais do que indivíduos saudáveis.

Desafios e próximos passos

Embora os resultados sejam promissores, Anja Schneider, neurocientista do Centro Alemão para Doenças Neurodegenerativas, aponta que mais estudos são necessários para confirmar quais proteínas podem ser usadas como biomarcadores confiáveis do envelhecimento cerebral.

Mark Mattson, neurocientista da Universidade Johns Hopkins, ressalta outra questão fundamental: “De onde vêm essas proteínas?”. Ele explica que os níveis medidos no sangue podem não refletir com precisão os níveis cerebrais. Estudos futuros em modelos animais serão essenciais para explorar como as alterações nas proteínas identificadas afetam o envelhecimento cerebral.

Além disso, a maioria dos participantes do estudo era de ascendência europeia. Segundo Liu, pesquisas adicionais devem investigar se os achados se aplicam a outras populações.

O estudo abre caminhos importantes para compreender o envelhecimento cerebral e buscar estratégias mais eficazes para tratar doenças neurodegenerativas. Entretanto, ainda há um longo caminho a percorrer até que essas descobertas possam ser aplicadas na prática clínica.

Fonte: Redação Terra Você
Compartilhar

Comentários

As opiniões expressas nos comentários são de responsabilidade exclusiva de seus autores e não representam a opinião do Terra.

Publicidade

Conheça nossos produtos

Seu Terra