Script = https://s1.trrsf.com/update-1770314720/fe/zaz-ui-t360/_js/transition.min.js
PUBLICIDADE

Caso Flávia Monteiro: 5 dicas para evitar acidentes em casa

Atriz sofreu acidente doméstico e acende alerta para cuidados simples que podem prevenir quedas e lesões no dia a dia

9 abr 2026 - 12h30
Compartilhar
Exibir comentários

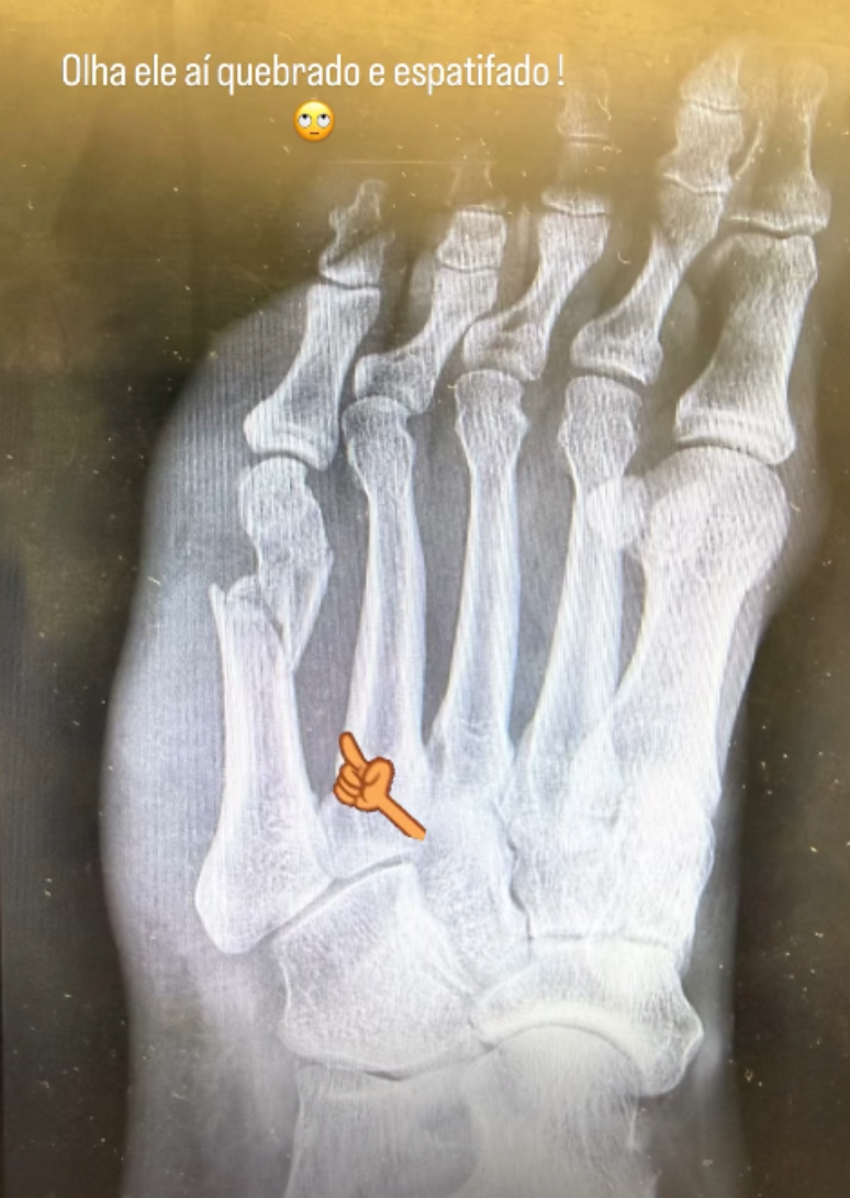
Flávia Monteiro passou por um susto após sofrer um acidente dentro de casa.

A atriz precisou ser internada no Rio de Janeiro depois de quebrar o pé ao cair durante uma brincadeira com a filha.

Foto: Alto Astral

Foto: Reprodução/Instagram.

Segundo relato, o momento aconteceu quando ela interagia com a criança e foi surpreendida pela agitação do cachorro da família.

Com a queda, ela fraturou o quinto metatarso e precisará passar por cirurgia.

Foto: Alto Astral
Foto: Alto Astral

Foto: Reprodução/Instagram.

O caso chama atenção para algo comum, mas muitas vezes negligenciado: os acidentes domésticos.

Situações simples e rotineiras podem gerar lesões sérias se não houver cuidado.

5 dicas para evitar acidentes em casa

1. Evite brincadeiras arriscadas em ambientes fechados

Brincadeiras com crianças são importantes, mas exigem atenção.

Movimentos bruscos, levantar peso ou correr em espaços pequenos aumentam o risco de queda.

Prefira atividades mais seguras, principalmente em locais com móveis por perto.

2. Tenha cuidado com animais de estimação durante momentos agitados

Animais podem ficar muito excitados ao ver os donos.

Pulando ou correndo, eles podem provocar tropeços e desequilíbrios.

O ideal é manter controle nesses momentos, principalmente perto de crianças.

3. Use calçados adequados dentro de casa

Andar descalço ou com calçados escorregadios aumenta o risco de acidentes.

Chinelos soltos, por exemplo, podem facilitar quedas.

Prefira opções firmes e antiderrapantes.

4. Mantenha o ambiente organizado

Objetos espalhados pelo chão são perigos silenciosos. Alguns podem causar tropeços:

  • Brinquedos.
  • Tapetes soltos.
  • Móveis mal posicionados.

Manter a casa organizada reduz significativamente o risco.

5. Respeite os limites do corpo

Com o passar do tempo, o corpo muda e exige mais cuidado.

Atividades que parecem simples podem gerar impacto maior do que o esperado.

Evitar excessos e movimentos bruscos ajuda a prevenir lesões.

Acidentes domésticos podem ser evitados com atitudes simples

O caso de Flávia Monteiro mostra como situações comuns podem fugir do controle.

Pequenas mudanças de hábito fazem toda a diferença na segurança dentro de casa.

Com atenção no dia a dia, é possível reduzir riscos e proteger toda a família.

Alto Astral
Compartilhar

Comentários

As opiniões expressas nos comentários são de responsabilidade exclusiva de seus autores e não representam a opinião do Terra.

Publicidade

Conheça nossos produtos

Seu Terra