Script = https://s1.trrsf.com/update-1778180706/fe/zaz-ui-t360/_js/transition.min.js
PUBLICIDADE
Oferecimento Logo do patrocinador
Publicidade

Vozes inexplicáveis salvaram mulher que tinha tumor na cabeça; entenda

Um caso de 1997 choca os cientistas até os dias atuais, pois mostra como nosso cérebro é misterioso e pode manifestar doenças físicas através de sintomas psicológicos

8 out 2025 - 19h17
Compartilhar
Exibir comentários

Um caso de 1997 choca os cientistas até os dias atuais, pois mostra como nosso cérebro é misterioso e pode manifestar doenças físicas, como um tumor, através de sintomas psicológicos. Confira os detalhes:

Um caso de 1997 choca os cientistas até os dias atuais, pois uma mulher passou a afirmar que vozes lhe contavam que ela tinha um tumor
Um caso de 1997 choca os cientistas até os dias atuais, pois uma mulher passou a afirmar que vozes lhe contavam que ela tinha um tumor
Foto: Reprodução/YouTube / Bons Fluidos

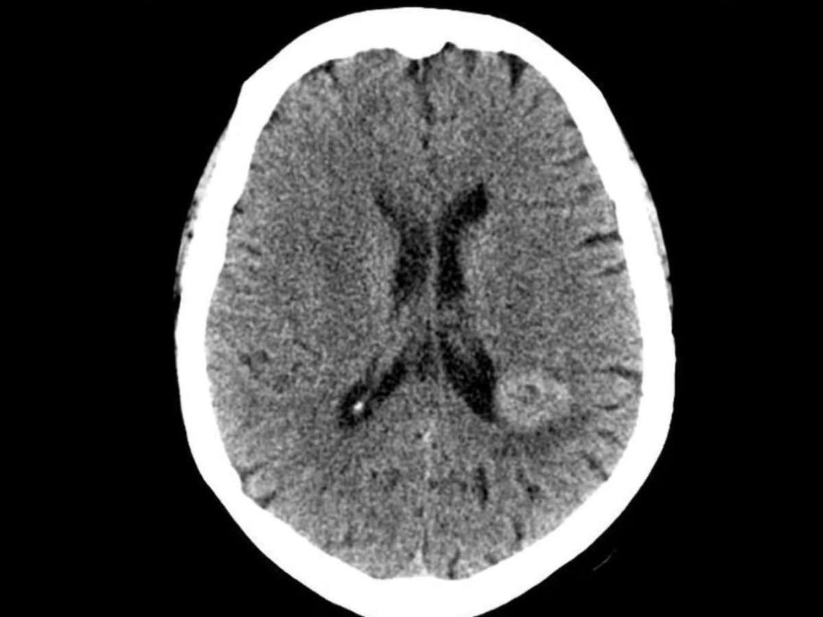
Primeiramente, tudo começou quando uma paciente de meia-idade, sem histórico psiquiátrico, passou a ouvir vozes nada familiares e persistentes. Essas pediam para ela procurar um médico e realizar um exame cerebral, isso porque afirmavam, calmamente, que ela tinha um tumor ali.

Quando contou isso aos especialistas, não recebeu atenção. Dessa forma, não quiseram que ela realizasse teste algum. Porém, as vozes continuaram, atestando que a investigação do caso era urgente. Então os médicos aceitaram a proposta para tranquilizá-la. E o resultado foi chocante. Descobriram que, realmente, ela tinha um meningioma, localizado exatamente no lugar apontado pelas mesmas.

Com isso, marcaram a cirurgia, que foi um sucesso, e, assim, o mais surpreedente aconteceu. Quando a mulher acordou do procedimento, escutou as vozes lhe dizendo: "Estamos satisfeitos que pudemos lhe ajudar. Adeus". E elas nunca mais apareceram desde então.

45 minutos de atividade física diária podem evitar o câncer

Segundo um estudo, feito pela Universidade Emory e pela Sociedade Americana contra o Câncer, diversos tipos de câncer acontecem por causa do sedentarismo, ou seja, ausência de atividade física. Por exemplo, 17% dos casos do de estômago poderiam ser evitados com um simples treino. Além disso, o mesmo motivo pode causar os de cólon, esôfago, mama, bexiga e endométrio.

Dessa forma, a análise dos dados apontou que a atividade física poderia evitar esses tipos de câncer, e não seria muito tempo de prática. Isso porque, com base na vida de 600 mil adultos norte-americanos, cerca de 3% dos casos poderia ser evitado se essas pessoas tivessem feito 300 minutos de exercício físico por semana, ou seja, 45 minutos diariamente - uma caminhada rápida, por exemplo. Ou seja, pequenos hábitos fazem, sim, a diferença.  e leia a matéria completa.

Bons Fluidos
Compartilhar

Comentários

Os comentários são de responsabilidade exclusiva de seus autores e não representam a opinião deste site. Se achar algo que viole os termos de uso, denuncie.

Publicidade

Conheça nossos produtos

Seu Terra