Script = https://s1.trrsf.com/update-1779108912/fe/zaz-ui-t360/_js/transition.min.js
PUBLICIDADE
Publicidade

Mais horripilante do que qualquer filme de terror: Cadáveres e vísceras reais levaram o público a abandonar cinema

O filme mais extremo de 2022 não é um filme de terror, mas muitas pessoas fugiram do cinema na estreia de De Humani Corporis Fabrica.

12 nov 2023 - 22h22
Compartilhar
Exibir comentários

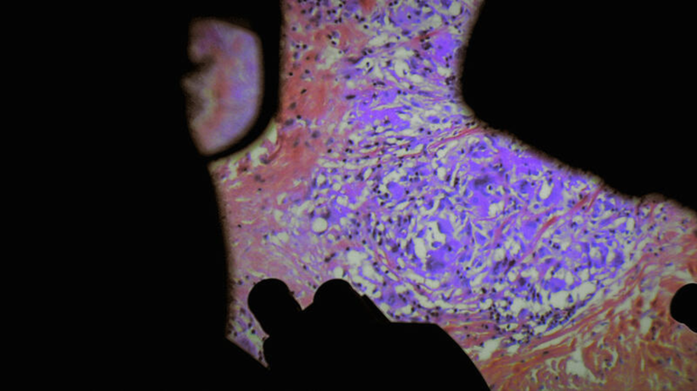
Quando pensamos no gênero "body horror", lembramos principalmente de David Cronenberg, em filmes como A Mosca (1986) ou, mais recentemente, Crimes do Futuro (2022), que derivam seu horror principalmente da alteração patológica ou da manipulação do corpo humano. Mas se pudéssemos ver como ele se parece - literalmente - dentro de nós, isso por si só já seria horror corporal suficiente: não é à toa que muitas pessoas não suportam ver sangue - o fluido que nos mantém vivos, afinal de contas.

Foto: Norte Productions / Adoro Cinema

Nenhum filme dos últimos anos confrontou seu público com isso de forma tão implacável quanto De Humani Corporis Fabrica (em tradução livre: A Fábrica do Corpo Humano) - não é um filme de terror, mas sim um documentário! No entanto (ou melhor: exatamente por causa disso), o filme é um verdadeiro teste a nossa coragem.

DE HUMANI CORPORIS FABRICA NOS LEVA A UM LUGAR ONDE O BODY HORROR FAZ PARTE DA VIDA COTIDIANA

Lucien Castaing-Taylor e Véréna Paravel realizaram alguns dos documentários mais radicais dos últimos anos. Leviathan (2012) - um filme sobre a indústria pesqueira norte-americana - foi uma experiência audiovisual que ofereceu imagens nunca vistas antes; em Caniba (2017), os cineastas deixaram o assassino de mulheres e o canibal japonês Issei Sagawa contar seus feitos (e aproximaram a câmera milimetricamente de seu rosto e corpo).

De Humani Corporis Fabrica é seu mais recente trabalho e nos leva a um lugar onde o "horror corporal" faz parte da vida cotidiana: o hospital.

Leia o artigo em AdoroCinema

Gen V não decepciona em nenhum momento e leva perfeitamente o bastão de The Boys: Grandes personagens, momentos icônicos e sangue por toda parte

Jogos Mortais X: Esse filme de terror já tem um recorde!

Festival Varilux 2023 terá filme vencedor da Palma de Ouro em Cannes; confira outros longas da programação

Para os fãs de terror: É um dos filmes mais aterrorizantes de 2022 e sua sequência foi recentemente confirmada

Adoro Cinema
Compartilhar

Comentários

Os comentários são de responsabilidade exclusiva de seus autores e não representam a opinião deste site. Se achar algo que viole os termos de uso, denuncie.

Publicidade

Conheça nossos produtos

Seu Terra