Script = https://s1.trrsf.com/update-1770314720/fe/zaz-ui-t360/_js/transition.min.js
PUBLICIDADE

Covid em crianças: os sintomas incomuns que podem levar a erros fatais de diagnóstico

Autópsias feitas em cinco crianças que morreram de covid-19 no Hospital das Clínicas, em São Paulo, ajudam a explicar por que a doença continua escapando aos diagnósticos dos pediatras.

5 mai 2021 - 18h29
(atualizado em 5/5/2021 às 10h40)
Compartilhar
Exibir comentários
A imagem mostra um axônio de um neurônio do cérebro de uma criança com síndrome inflamatória multissistêmica pediátrica (SIM-P). A seta aponta o vírus SARS-CoV-2 em uma vesícula no citoplasma do axônio
A imagem mostra um axônio de um neurônio do cérebro de uma criança com síndrome inflamatória multissistêmica pediátrica (SIM-P). A seta aponta o vírus SARS-CoV-2 em uma vesícula no citoplasma do axônio
Foto: Elia Caldini / BBC News Brasil

Autópsias feitas em cinco crianças que morreram de covid-19 no Hospital das Clínicas, em São Paulo, ajudam a explicar por que a doença continua escapando aos diagnósticos dos pediatras.

Os pesquisadores do departamento de Patologia da Faculdade de Medicina da Universidade de São Paulo (FMUSP) descrevem quatro apresentações, ou seja, quatro "caras" diferentes da doença.

Uma é um quadro de doença pulmonar, bem típico da covid e de fácil diagnóstico, que acometeu duas das crianças.

Já as outras três crianças tinham quadros que ilustram o caráter "camaleônico" do vírus Sars-CoV-2.

Uma foi internado com convulsões. Outra, com suspeita de apendicite. Uma terceira criança - em caso já descrito em estudo anterior da mesma equipe e detalhado em reportagem da BBC Brasil - faleceu por miocardite, uma inflamação no coração.

Com base no estudo, os patologistas fazem um alerta à comunidade médica: "A criança chega no hospital com manifestações que fazem você pensar em outro diagnóstico, mas a nossa mensagem é que, nesse momento, no meio da pandemia, se a criança chega com essas apresentações, a covid tem que ser considerada", diz à BBC Brasil a médica patologista e professora da FMUSP Marisa Dolhnikoff, coordenadora do estudo.

Os casos são relatados em um estudo publicado na semana passada na revista científica EClinicalMedicine, uma publicação de acesso livre da revista Lancet.

A seguir, Dolhnikoff e o autor principal do estudo, o patologista e infectologista da FMUSP e do Instituto Adolfo Lutz dr. Amaro Duarte, explicam o que as autópsias revelam sobre a covid infantil e como elas podem influenciar o entendimento da comunidade científica internacional sobre os mecanismos por trás das mortes dessas crianças.

A equipe explica também como os cientistas lidam com o desafio de identificar e descrever um vírus que nunca foi visto antes.

SIM-P, a covid infantil atípica que continua fugindo ao diagnóstico

Crianças, para a pediatria, são pacientes com até 18 anos de idade.

Desde abril do ano passado, os especialistas sabem que quando a covid nessa faixa etária é sintomática, ela se apresenta de duas maneiras:

A forma mais "clássica", caracterizada pela doença pulmonar (como acontece com os adultos), tende a afetar crianças com comorbidades. Isso se confirmou em dois casos investigados no novo estudo.

A médica patologista e professora da FMUSP Marisa Dolhnikoff (foto) e o patologista Paulo Saldiva lideram os estudos em autópsia de óbitos da covid no Hospital das Clínicas
A médica patologista e professora da FMUSP Marisa Dolhnikoff (foto) e o patologista Paulo Saldiva lideram os estudos em autópsia de óbitos da covid no Hospital das Clínicas
Foto: Laura D. Jardanovski / BBC News Brasil

Um deles foi o de uma adolescente que tinha câncer. "É um caso complexo, onde fica difícil determinar se a causa da morte foi o câncer ou a covid", diz Dolhnikoff, que lidera, ao lado do patologista Paulo Saldiva, os estudos em autópsia de óbitos pela covid no Hospital das Clínicas da FMUSP.

A outra criança, com idade entre zero e dois anos, havia nascido prematuramente e tinha malformações congênitas. (A pedido da equipe, para evitar ferir os sentimentos da família, omitimos a idade exata da criança.)

Os outros três casos de covid-19 descritos no estudo têm características comuns a uma manifestação atípica de covid-19 infantil que os especialistas batizaram de Síndrome Inflamatória Multissistêmica Pediátrica (SIM-P). E é essa síndrome que tem confundido médicos na hora do diagnóstico. A BBC Brasil traz um depoimento de uma mãe que perdeu seu filho pela SIM-P nesse link.

"A febre alta e contínua é um dos critérios para você dar um diagnóstico de SIM-P", diz Dolhnikoff.

Mas por razões que os pesquisadores desconhecem, junto com a febre, as crianças podem apresentar quadros iniciais muito distintos.

"A criança chega ao hospital com muita dor na barriga, febre, vômito, podendo ou não ter diarreia, você aperta a barriga, a barriga dói. Você vai pensar na apendicite como um dos diagnósticos possíveis", explica Dolhnikoff.

"Uma das criancas no estudo foi operada por apendicite. Os médicos tiraram o apêndice, mas era covid."

O patologista e infectologista da FMUSP e do Instituto Adolfo Lutz Amaro Duarte, autor principal do estudo
O patologista e infectologista da FMUSP e do Instituto Adolfo Lutz Amaro Duarte, autor principal do estudo
Foto: Amaro Duarte / BBC News Brasil

Uma outra criança, com idade entre oito e dez anos, foi admitida com dores de cabeça, confusão mental e convulsões.

"A criança era normal, começou a ter convulsões de mal epilético. Foi tratada com um anticonvulsivante, mas não conseguiam tirá-la daquele quadro. Era um quadro cerebral."

A terceira criança com covid atípica estudada (um caso já descrito em artigo na revista Lancet Child and Adolescent Health) chegou ao pronto socorro com sintomas cardíacos graves. Ela também tinha dores abdominais e falta de ar, entre outros sintomas.

Dolhnikoff explica que, embora as crianças tenham entrado no hospital com quadros distintos, quando morreram tinham inflamação generalizada, com vários órgãos comprometidos - uma característica da SIM-P.

A bióloga e professora da FMUSP Elia Caldini. Ao fundo, o microscópio eletrônico, que aumenta dezenas de milhares de vezes as amostras de tecido para que os patologistas vejam o Sars-CoV-2
A bióloga e professora da FMUSP Elia Caldini. Ao fundo, o microscópio eletrônico, que aumenta dezenas de milhares de vezes as amostras de tecido para que os patologistas vejam o Sars-CoV-2
Foto: Divulgação / BBC News Brasil

Preocupada em evitar que o estudo gere alarme na população, Dolhnikoff coloca os casos em contexto:

"Felizmente, a morte é um evento raro. A maioria das criancas com SIM-P responde bem ao tratamento hospitalar de suporte e se recupera", ela diz. "Há várias intervenções possíveis, por isso é tão importante fazer o diagnóstico antes de que o caso fique grave demais."

Por que as crianças morrem? - A hipótese da USP

A SIM-P permanece misteriosa e sobre ela os especialistas divergem.

Muitos na comunidade científica defendem que ela seja, na verdade, uma resposta imunológica anormal, somente de algumas crianças, possivelmente por predisposição genética, após a covid.

Mas para os patologistas da FMUSP, as autópsias contam uma história um pouco diferente.

"Muitos estão sugerindo que essas crianças que têm a covid grave podem ter tido a infecção, o vírus estava só no nariz e na boca da criança mas gerou uma resposta completamente descontrolada do sistema imune dessa criança. Isso é o que se propõe", diz Dolhnikoff.

"Mas nós estamos dizendo que não, não é apenas isso. Não é que o vírus passou lá e foi embora."

Dolhnikoff e a equipe acham muito possível que as crianças afetadas tenham, sim, alguma característica genética que as torne mais vulneráveis, "caso contrário, muito mais crianças estariam morrendo de covid".

"Mas as autópsias estão mostrando claramente que, nessas crianças com quadro grave, o vírus foi muito invasivo e agressivo, se espalhou pelos tecidos e lesou esses tecidos."

"Esses dois fatores, a agressividade do vírus e a resposta imune, levaram essas crianças à morte."

O estudo também veio comprovar que as tromboses, fenômeno associado à covid em adultos, estão também presentes nas crianças com SIM-P, diz Dolhnikoff.

"Essa constatação é importante porque influi nos possíveis tratamentos."

Conhecendo um inimigo novo - como cientistas identificaram o Sars-CoV-2

A equipe da FMUSP é a única no mundo fazendo estudos em autópsia com foco nessa faixa etária, daí a relevância desse estudo. Os patologistas podem literalmente "enxergar" o Sars-CoV-2 em ação no corpo das crianças.

Mas como sabem que o que estão vendo ali é mesmo o novo coronavírus? Amaro Duarte, autor principal do estudo, explica:

"Nós, patologistas mundo afora trabalhando com autópsias, estamos descrevendo um agente infeccioso que não tinha sido descrito anteriormente. Quando você faz isso, precisa se cercar de que aquilo que você está vendo ali é realmente aquele agente, no caso o Sars-CoV-2."

Para eliminar qualquer dúvida, a equipe da USP baseou seus resultados em três métodos de investigação.

Um deles foram exames de RT-PCR (sigla para Reverse-Transcription Polymerase Chain Reaction), também usados para diagnóstico de covid-19 na população.

"Esse método usa biologia molecular para detectar elementos genéticos, nesse caso, o RNA do vírus, no tecido coletado na autópsia", diz Duarte.

O segundo método é a microscopia eletrônica, que aumenta dezenas de milhares de vezes o tamanho da amostra de tecido - como na imagem abaixo, feita pela bióloga e professora da FMUSP Elia Caldini, outra integrante da equipe.

Imagem de microscopia eletrônica colorida artificialmente mostrando dois vírus Sars-Cov-2 (setas) marcados com partículas de ouro (bolinhas escuras). 'A técnica imunoeletrônica demonstra de maneira inequívoca a presença do vírus na parede do capilar sanguíneo no cérebro da criança', escreve a autora da imagem, Dra. Elia Caldini.
Imagem de microscopia eletrônica colorida artificialmente mostrando dois vírus Sars-Cov-2 (setas) marcados com partículas de ouro (bolinhas escuras). 'A técnica imunoeletrônica demonstra de maneira inequívoca a presença do vírus na parede do capilar sanguíneo no cérebro da criança', escreve a autora da imagem, Dra. Elia Caldini.
Foto: Elia Caldini / BBC News Brasil

"Por esse método, a gente mostra as partículas virais no coração, cérebro, pulmão e na parede intestinal das crianças", diz Duarte.

"E nós introduzimos uma metodologia nova, que é a microscopia imunoeletrônica, em que a gente usa um anticorpo acoplado a uma partícula de ouro para marcar a partícula viral. Então, a gente vê a partícula de ouro sobre a partícula viral, comprovando que aquilo ali é mesmo o vírus."

"Nossa colega Elia Caldini levou meses desenvolvendo essa metodologia e tivemos um resultado muito bom, com imagens muito boas."

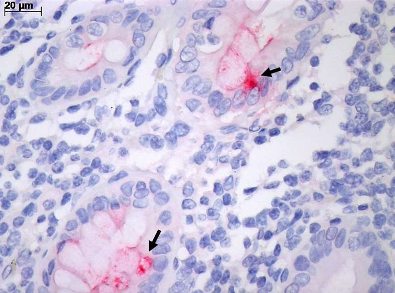
Para reforçar ainda mais seus resultados, a equipe lançou mão de uma terceira técnica, a imuno-histoquímica.

Intestino com inflamação pela covid-19, observado pelo microscópio comum. A coloração vermelha (seta) marca a infecção de célula intestinal pelo vírus SARS-CoV-2.
Intestino com inflamação pela covid-19, observado pelo microscópio comum. A coloração vermelha (seta) marca a infecção de célula intestinal pelo vírus SARS-CoV-2.
Foto: Cristina Kanamura / BBC News Brasil
Coração de criança com miocardite pela covid-19, observado pelo microscópio comum. A coloração vermelha marca a infecção pelo vírus SARS-CoV-2. No quadrado pontilhado em verde (e no detalhe): célula de vaso sanguíneo. Na seta verde: célula de músculo cardíaco.
Coração de criança com miocardite pela covid-19, observado pelo microscópio comum. A coloração vermelha marca a infecção pelo vírus SARS-CoV-2. No quadrado pontilhado em verde (e no detalhe): célula de vaso sanguíneo. Na seta verde: célula de músculo cardíaco.
Foto: Cristina Kanamura / BBC News Brasil

"A técnica imuno-histoquímica é largamente usada em patologia para detectar antígenos - proteínas de um tumor, de uma bactéria, de um vírus ou de um parasita - nos tecidos", diz Duarte.

"E para não ficar nenhuma dúvida, a gente utilizou dois anticorpos diferentes para detectar duas proteínas do Sars-CoV-2 nos tecidos."

"Esse anticorpo vai estar ligado a uma substância que produz cor ao entrar em contato com o antígeno - a cor vermelha que você vê nas fotos. Padronizamos a técnica no Adolfo Lutz para a detecção de antígenos do Sars-CoV-2."

Ferido em batalha e as lições do estudo para a comunidade médica

O estudo publicado na EClinicalMedicine - cujo título é "An autopsy study of the spectrum of severe COVID-19 in Children" (em tradução livre, Um estudo em autópsia do espectro de COVID-19 grave em crianças" - é o culminar de meses de trabalho da equipe da FMUSP.

Para Duarte, foi um período particularmente difícil.

Por ser também infectologista, o médico acabou tendo seu próprio encontro com o coronavírus: contraiu a covid-19 no pronto socorro do Instituto do Coração, o Incor, em junho do ano passado. Não precisou ser internado, conta, mas foram dias de muita ansiedade.

"É muito bom que casos graves em crianças sejam raros. Imagine se a criança fosse acometida em larga escala, como acontece com pessoas de meia idade? Teríamos gerações inteiras comprometidas."

Ainda assim, ele diz, o estudo traz lições importantes para a comunidade médica.

"Faça o teste duas vezes para ter certeza", recomenda. "É importante insistir nessa pesquisa antes de que o caso fique muito grave."

"E se a criança está apresentando quadro de gravidade que necessite de hospitalização, que fuja da curva do que é esperado para aquela faixa etária, insista o máximo possível para chegar a um diagnóstico, seja do Sars-CoV-2 ou de outras doenças virais."

Para as famílias com crianças, Duarte lembra que embora óbitos sejam proporcionalmente raros nessa faixa etária, elas também precisam ser protegidas do contato com o vírus.

"É importante ensinar a criança a seguir as medidas de prevenção, como usar máscaras, lavar as mãos e evitar aglomerações."

Segundo dados do Ministério da Saúde, entre 1 de abril de 2020 e 13 de março de 2021 foram notificados no Brasil 813 casos confirmados de SIM-P em crianças com até 19 anos de idade. Destes, 51 resultaram em óbitos.

Com base nessa reportagem, conclui-se que haja grandes chances de subnotificação.

BBC News Brasil BBC News Brasil - Todos os direitos reservados. É proibido todo tipo de reprodução sem autorização escrita da BBC News Brasil.
Compartilhar
TAGS
Publicidade

Conheça nossos produtos

Seu Terra












Publicidade