Script = https://s1.trrsf.com/update-1765905308/fe/zaz-ui-t360/_js/transition.min.js
PUBLICIDADE

Cientistas encontram fósseis de 4 bilhões de anos e se aproximam de origem da vida

2 mar 2017 - 12h19
(atualizado às 13h20)
Compartilhar
Exibir comentários

Cientistas descobriram o que acreditam ser os fósseis de alguns dos primeiros organismos vivos da Terra.

Filamentos ricos em ferro de rochas localizadas na província de Québec, no Canadá, indicariam prova de vida na Terra
Filamentos ricos em ferro de rochas localizadas na província de Québec, no Canadá, indicariam prova de vida na Terra
Foto: Matthew Dodd

São minúsculos filamentos, pedaços e tubos em rochas localizadas no Canadá que teriam até 4,28 bilhões de anos.

Caso a estimativa de idade dos microfósseis esteja realmente correta, o surgimento da vida teria acontecido "pouco tempo" depois da formação do planeta, há 4,54 bilhões de anos.

Também representaria um salto de centenas de milhões de anos atrás com relação à evidência mais antiga até então conhecida.

O estudo foi publicado na revista científica Nature.

.
.
Foto: BBC

As conclusões ainda são polêmicas, mas a equipe, formada por cientistas internacionais, diz acreditar não ter dúvidas quanto à descoberta.

Os supostos micróbios fossilizados têm um décimo da largura de um fio de cabelo humano e contêm quantidades significativas de hematita - um tipo de óxido de ferro ou "ferrugem".

Matthew Dodd, que analisou as estruturas na Universidade College London (UCL), no Reino Unido, defende que a descoberta lança luz sobre as origens da vida.

Rocha contém o que especialistas identificaram como microfósseis
Rocha contém o que especialistas identificaram como microfósseis
Foto: Dominic Papineau

"A descoberta responde a questões que a humanidade pergunta a si mesma, como: de onde viemos e por que estamos aqui?", diz.

As estruturas fósseis estavam revestidas em camadas de quartzo no chamado Cinturão Supracrustal de Nuvvuagittuq (NSB, na sigla em inglês).

O NSB é um pedaço de antigo leito oceânico que contém algumas das rochas sedimentárias e vulcânicas mais antigas conhecidas pela ciência.

Polêmica

A equipe observou segmentos de rocha que provavelmente foram formados em um sistema de fontes hidrotermais - fissuras no fundo do mar das quais jorra água aquecida e rica em minerais.

Atividade hidrotermal no leito ocêanico pode ter sido habitat para primeiras formas de vida
Atividade hidrotermal no leito ocêanico pode ter sido habitat para primeiras formas de vida
Foto: Georgette Douwma/Science Photo Library

Nos dias de hoje, essas fontes são conhecidas como importantes habitats para micróbios.

Segundo Dominic Papineau, também da UCL, que descobriu os fósseis na província de Québec, esse tipo de formação foi também, muito provavelmente, o berço de diferentes formas de vida entre 3,77 bilhões e 4,28 bilhões de anos atrás.

Ele descreveu como se sentiu quando percebeu o significado do material sobre o qual estava trabalhando.

"Pensei comigo mesmo: 'Consegui, consegui os fósseis mais antigos no planeta'", diz ele.

"A descoberta remete às nossas origens. Para a vida inteligente evoluir a um nível de consciência, ao ponto de poder remontar à sua história para poder entender sua origem - é inspirador", acrescentou.

Quaisquer reivindicações de vida mais antiga da Terra são sempre cercadas de polêmica.

Vida na Terra teve origem há bilhões de anos
Vida na Terra teve origem há bilhões de anos
Foto: Walter Myers//Science Photo Library

Isso porque é normalmente difícil provar que algumas estruturas podem não ter sido produzidas por processos não-biológicos.

Além disso, a análise desse material é complicada porque as rochas normalmente sofrem alterações.

O NSB, por exemplo, foi espremido e aquecido durante todo esse tempo.

Atualmente, a evidência mais antiga de vida na Terra vem de rochas de 3,48 bilhões de anos encontradas no Estado da Austrália Ocidental.

O material possui resquícios de estromatolitos - acúmulos de sedimentos formados por grãos minerais colados juntos por antigas bactérias.

Outra descoberta de estromatolistos foi feita em agosto do ano passado. A equipe por trás do achado disse que a evidência fóssil tinha 3,7 bilhões de anos.

No entanto, Papineau reconhece a ideia de que a metabolização de oxigênio pelos micro-organismos tão cedo assim depois da formação da Terra vai surpreender os geologistas.

Fósseis foram descobertos pelo cientista Dominic Papineau
Fósseis foram descobertos pelo cientista Dominic Papineau
Foto: Dominic Papineau

"Eles não consideraram que havia organismos respirando oxigênio naquele tempo. Isso traz de volta a produção de oxigênio para a superfície da Terra, embora em pequenas quantidades, para o início do registro sedimentar", disse ele.

No entanto, Nicola McLoughlin, da Universidade Rhodes, na África do Sul, que não participou do estudo, lançou dúvidas sobre as conclusões dos cientistas.

"A morfologia desses supostos filamentos de ferro oxidado do norte do Canadá não é convincente", afirma ela à BBC.

"Em depósitos recentes vemos hastes retorcidas espetaculares, normalmente dispostas em camadas, mas nas rochas altamente metamorfoseadas do cinturão de Nuvvuagittuq, esses filamentos são muito mais simples na forma", explica.

"A evidência textural e geoquímica do grafite em rosetas de carbonato e grânulos de magnetita-hematita é um trabalho cuidadoso, mas fornece apenas indicações de atividade microbial; não reforça o caso da biogenicidade dos filamentos", completa.

Ela também diz que a idade máxima das rochas já se mostrou controversa, e que a idade verdadeira seria provavelmente mais próxima de 3,77 bilhões de anos.

Em parte, o conhecimento sobre os primeiros organismos vivos interessa porque abre caminho para a descoberta de outros tipos de vida para além do sistema solar.

"Esses organismos vêm de um tempo quando acreditamos que Marte tinha água em estado líquido em sua superfície e uma atmosfera similar à da Terra naquele tempo", disse Dodd.

"Sendo assim, se temos formas de vida sendo originadas e evoluindo na Terra naquele tempo, então podemos ter tido vida originada em Marte".

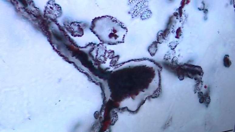
Amontados e filamentos de ferro guardam semelhanças com micróbios atuais
Amontados e filamentos de ferro guardam semelhanças com micróbios atuais
Foto: M.Dodd

Se esse for o caso, segundo Papineau, as recentes missões espaciais da Nasa à superfície de Marte podem estar buscando sinais de vida em lugares errados.

Segundo ele, as missões Veículos Exploradores de Marte (MER, na sigla em inglês), Spirit e Opportunity, e mais recentemente a sonda espacial Curiosity, negligenciaram áreas que poderiam ter tido pedras originadas por fontes hidrotermais.

"Na superfície de Marte, tivemos oportunidades perdidas. O MER-B (Opportunity) em 2003 descobriu formações promissoras, mas não havia análise. E o Spirit passou ao largo de outra perto da região de Comance na cratera de Gusev", assinala.

BBC News Brasil BBC News Brasil - Todos os direitos reservados. É proibido todo tipo de reprodução sem autorização escrita da BBC News Brasil.
Compartilhar
TAGS
Publicidade

Conheça nossos produtos

Seu Terra












Publicidade